ULTIMA ORA
Societate

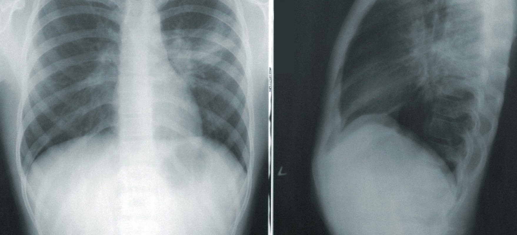
Tuberculoza, principala cauză de deces provocată de boli infecțioase la nivel global, a omorât 1,23 milioane de oameni în 2024, conform Organizației Mondiale a Sănătății

Cristian Marinescu


Tuberculoza rămâne principala cauză de mortalitate din cauza bolilor infecțioase la nivel mondial, fiind responsabilă pentru aproximativ 1,23 milioane de decese în 2024, a anunțat Organizația Mondială a Sănătății. Aceasta evidențiază, de asemenea, fragilitatea avansurilor realizate în lupta împotriva acestei boli.

Numărul deceselor provocate de tuberculoză a scăzut cu 3% comparativ cu anul anterior, iar cazurile noi au redus cu aproape 2%, conform unui raport anual al OMS.

Se estimează că în 2024, aproximativ 10,7 milioane de oameni au contractat boala în întreaga lume: 5,8 milioane bărbați, 3,7 milioane femei și 1,2 milioane copii.

Tuberculoza este o boală tratabilă și prevenibilă, cauzată de o bacterie care afectează cel mai adesea plămânii. Se transmite pe cale aeriană, atunci când persoanele infectate tușesc, strănută sau scuipă.

„Pentru prima dată de la începutul pandemiei de COVID-19, care a perturbat serviciile de sănătate, numărul cazurilor și al deceselor cauzate de tuberculoză este în scădere”, a declarat Tereza Kasaeva, conducătoarea Departamentului pentru HIV, tuberculoză, hepatite și boli cu transmitere sexuală din cadrul OMS, la Geneva.

„Reducerea bugetelor și existența unor factori persistenti ai epidemiei riscă să anuleze progresele obținute cu greu, însă cu un angajament politic, investiții continue și solidaritate internațională putem inversa tendința și putem eradica acest flagel vechi o dată pentru totdeauna”, a adăugat ea.

Finanțarea eforturilor de combatere a tuberculozei a stagnat din 2020. În 2023, au fost alocate 5,9 miliarde de dolari pentru prevenție, diagnostic și tratament, sumă insuficientă față de nevoile estimate la 22 de miliarde de dolari anual până în 2027.

În 2024, opt țări au raportat două treimi din totalul cazurilor mondiale: India (25%), Indonezia (10%), Filipine (6,8%), China (6,5%), Pakistan (6,3%), Nigeria (4,8%), Republica Democratică Congo (3,9%) și Bangladesh (3,6%).

Sursa articol

Sursa: G4Media